Vous êtes ici : Accueil / Nos réalisations / Barre hybride à moignons
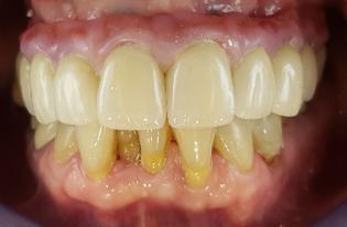
Barre hybride à moignons
Retour aux réalisations Demande d'informations
De la nouvautés chez ZIRKON ZAHN.
Visitez le site et apprenez tout sur La zircone et ses possibilité
Visiter le site Zirkon ZahnHoraires & plan d'accès
Le laboratoire est ouvert
du lundi au vendredi
de 9h à 18h30




